경동맥 초음파 검사는 목을 지나는 큰 혈관인 경동맥의 상태를 확인하는 검사로, 뇌혈관 질환을 조기 발견하는 데 매우 중요한 역할을 합니다.
특히 중장년층이나 고혈압·당뇨·고지혈증이 있는 분들에게 권장되는 검사입니다. 오늘은 경동맥 초음파 검사로 어떤 질환을 알 수 있는지 자세히 알아보겠습니다.
1. 경동맥 초음파 검사란? 🩺📡
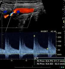
경동맥 초음파 검사는 고주파 초음파를 사용하여 목의 경동맥 혈관을 영상으로 확인하는 검사입니다. 혈관 내벽 두께, 혈류 흐름, 좁아진 정도 등을 실시간으로 볼 수 있으며, 조영제나 방사선 노출이 없어 안전합니다. 검사 시간은 약 20~30분 정도 소요됩니다.
2. 경동맥 초음파로 알 수 있는 주요 질환 ⚠️🧠
1) 경동맥 협착증
경동맥 내벽에 콜레스테롤이 쌓이면서 혈관이 좁아지는 질환입니다. 뇌졸중의 주요 원인이 되므로 조기 발견이 매우 중요합니다.
2) 죽상동맥경화증
플라크(지방 덩어리)가 혈관 벽에 형성되어 혈류를 방해합니다. 증상이 없더라도 뇌경색 위험을 높이는 원인이 됩니다.
3) 혈전(피떡)
혈관에 생긴 혈전이 떨어져 나가면 일과성 허혈 발작(TIA)이나 뇌졸중을 일으킬 수 있습니다.
4) 뇌졸중 위험 평가
경동맥의 협착 정도와 혈류 속도를 확인해 향후 뇌졸중 발생 가능성을 예측할 수 있습니다.
5) 동맥 박리
혈관 내막이 찢어져 혈류가 방해되는 경동맥 박리도 초음파로 진단할 수 있습니다.
경동맥 협착증 증상ㅣ대처방법
경동맥 협착증은 목을 지나는 주요 혈관인 경동맥이 좁아져 뇌로 가는 혈류가 줄어드는 질환입니다. 뇌졸중의 직접적인 원인이 될 수 있어 조기 발견과 관리가 매우 중요합니다. 이번 글에서는
you.pebblesblog.co.kr
3. 경동맥 초음파가 필요한 경우 🧑⚕️⚡
1) 뇌졸중 위험 인자 보유자
고혈압, 당뇨, 고지혈증이 있거나, 가족력이 있는 경우 조기 검사가 필요합니다.
2) 일과성 허혈 발작 경험자
갑작스러운 어지럼증, 시야흐림, 일시적 마비가 있었다면 반드시 경동맥 검사가 필요합니다.
3) 만 50세 이상 중장년층
증상이 없더라도 예방 차원에서 정기적 검사가 권장됩니다.
4) 심혈관질환 환자
협심증, 심근경색이 있는 환자는 뇌혈관도 영향을 받을 가능성이 높아 정밀 검사가 필요합니다.
4. 검사 절차 및 방법 🖥️🧪
1) 검사 전 준비
특별한 금식은 필요 없지만, 목에 로션이나 파우더는 바르지 않는 것이 좋습니다.
2) 검사 방법
환자는 검사 침대에 누운 후, 목에 젤을 바르고 초음파 탐촉자를 대어 경동맥을 관찰합니다.
3) 검사 시간
약 20~30분 소요되며, 통증이 없고 바로 일상생활이 가능합니다.
4) 검사 결과
혈관 내막 두께, 협착 정도, 혈류 속도 등을 확인할 수 있으며, 결과에 따라 추가 정밀검사가 필요할 수 있습니다.
5. 요약표 📋✅
발견 가능한 질환 | 특징 | 중요성 |
---|---|---|
경동맥 협착증 | 혈관 좁아짐 | 뇌졸중 원인 |
죽상동맥경화증 | 플라크 형성 | 혈류 장애 |
혈전 | 피떡 생성 | TIA, 뇌경색 위험 |
동맥 박리 | 혈관 내막 손상 | 급성 뇌혈류 장애 |
6. 자주 묻는 질문 ❓🤔
1) 경동맥 초음파는 아픈가요?
전혀 통증이 없으며, 방사선 노출도 없어 안전합니다.
2) 몇 년마다 받아야 하나요?
위험 인자가 있다면 1~2년에 한 번 정기 검진을 권장합니다.
3) 건강검진에서도 포함되나요?
일부 건강검진 패키지에 포함되어 있으며, 추가 비용으로 선택할 수도 있습니다.
7. 결론 📝✅
경동맥 초음파 검사는 뇌졸중 예방의 핵심 검사입니다. 특히 중장년층과 심혈관 위험 인자를 가진 분들은 정기적으로 검사를 받는 것이 중요합니다.
이 글이 도움이 되셨다면 왼쪽 아래 공감(♥)버튼 눌러주시면 감사하겠습니다!
'건강' 카테고리의 다른 글
60대 정상 혈당수치ㅣ관리방법 (0) | 2025.10.07 |
---|---|
자궁내막증 증상ㅣ원인ㅣ대처방법 (0) | 2025.10.07 |
유방암 초기증상ㅣ대처방법 (0) | 2025.10.07 |
간기능 저하시 나타나는 증상ㅣ대처방법 (0) | 2025.10.07 |
무릎이 시큰거리는 이유ㅣ해결방법 (0) | 2025.10.06 |